上眼皮松弛怎么解决?让你享受年轻化
上眼皮松弛怎么解决?让你享受年轻化!眼部肌肤是比较脆弱的,比较薄弱的地方。因此,随着年龄的不断增长之后,人们的变老现象是最先出现在自己的面部眼睛上面的,眼袋以及细纹,松弛现象,这些状况一步步相逼,导致美丽问题慢慢离我们自己远去,眼皮松弛的现象不仅会影响到自己的美观问题,还会导致自己的眼睑功能。

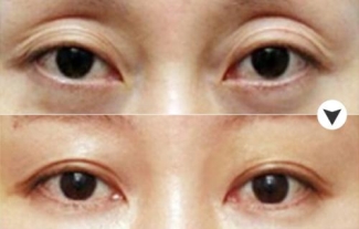
关于上眼皮松弛怎么解决,是爱美人士最想解决的问题。
北京艺星讲解:关于上眼皮松弛,会让人们的面部看起来比较显老的,于是就会通过眼皮松弛手术矫正,北京艺星整形提醒,选择手术治疗上眼皮松弛前,需要弄清楚眼皮松弛的原因,遗传性或先天性原因以及年龄老化所出现的眼皮松弛,通过矫正手术之后,带来的效果是很可观的;

上眼皮松弛——及时矫正
由于水肿性原因,上眼皮的反复肿胀现象,导致的松弛现象比较严重的,于是就会采取肾虚,于是需要尽早的进行检查,这样才可以避免治疗,避免做的上眼皮松弛矫正手术,术后因为水肿的现象过于反复之后导致的眼皮松弛。
上眼皮松弛矫正术后护理:
上眼皮松弛矫正手术方法比较复杂,于是建议爱美朋友需要选择到专业的医院进行治疗,术后需要按照的嘱咐进行术后护理,大约在一周之后就可以消肿;
关于上眼皮松弛,需要及时的进行手术矫正,另外,在平时的生活当中需要进行适当的保养,使用一些紧致、保湿效果的眼霜,给眼部肌肤进行适当的按摩,平时多吃对于眼部比较好的食物。

温馨提示:爱美的朋友在选择医院的时候,需慎重考虑到医院的资质问题以及环境和技术情况,要将自己的健康和问题需要放在主要的位置来进行是的,有什么疑问的,可以选择面诊来进行设计,会耐心的为爱美的面部进行详细的讲解。
